由于免疫功能尚未发育成熟,新生儿作为特殊的群体,较易受到新型冠状病毒(SARS-CoV-2)
的感染。在湖北、浙江等地,都相继出现了新生儿感染新冠肺炎的案例,最小的一位是出生只有30个小时便被确诊的患儿。
那么,新生儿新冠病毒肺炎有何特点?诊疗中需注意哪些问题?近日,《中华儿科杂志》分享了中国首例新生儿新型冠状病毒肺炎的诊治过程。
17日龄新生儿,确诊新冠肺炎
患儿,男,17日龄,因"打喷嚏,伴间断吐奶1周"于2020年2月5日入住武汉儿童医院新生儿内科隔离病房。
入院前1周,患儿出现打喷嚏,伴有吐奶,无发热、咳嗽及喘息等表现,未诊治,症状一直不能缓解。病程中精神反应下降,吃奶量减少,但排尿、排粪均正常。
入院前3天,其父母出现发热伴咳嗽,确诊为新冠肺炎患者,家庭聚集传播途径明确。
患儿早期临床症状轻,病程中出现一过性发热(体温37.8 ℃)及腹泻,无严重并发症。入院第3、4天咽拭子核酸检测阳性,入院第4、5天肛拭子核酸检测阳性,肺部影像学提示炎性改变,确诊为新生儿新冠肺炎,且与已报道儿童病例表现一致。结合患儿临床表现,提示存在呼吸道和消化道同时感染的可能。
■研究人员提醒,虽然不排除肛拭子阳性与新生儿长期卧位,呼吸道分泌物下咽有关,但家长们仍然需要警惕在家庭护理中,如喂养等环节,用具消毒不充分及看护人员手卫生不规范引起的经口传播可能。

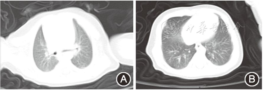
图1 新生儿新型冠状病毒感染肺炎入院当天胸部CT图片(可见两肺纹理增强,双肺叶内可见散在小条状模糊影);A:上肺;B:下肺
患儿入院后进入新生儿内科隔离病房观察治疗,给予温箱保暖隔离,密切监测心率、呼吸、血压、血糖、出入量等,进行对症支持治疗(维生素K1及补液等)。
病程中无咳嗽,精神食欲较好,生命体征稳定,尿量正常。入院7天无呕吐、发热、咳嗽及呼吸困难表现,精神食欲好,无异常体征。
影像学改变于入院第6天肺部病灶吸收好转。

感染肺炎入院第6天床旁胸部X线片,可见部分左下、右上肺少许模糊影;
与入院当天肺部CT相比,病灶有吸收好转
■研究人员建议,若没有明显的呼吸困难等进展症状和血氧饱和度的波动,则可以选择床旁胸部X线片复查了解肺部病变,以尽量减少CT检查可能给儿童带来的未来伤害。
需要强调的是,患儿咽拭子核酸检测阴性后仍有肛拭子核酸检测持续阳性。
研究人员建议,不能仅靠咽拭子核酸检测阳性提前解除隔离,应监测至肛拭子核酸检测阴性。
因为新生儿感染症状不典型和缺乏相关报道,容易忽视新生儿感染。通过本例新生儿病例,研究人员再次提醒:家庭中一定要重视新生儿新冠肺炎的看护及管理问题。
针对目前SARS-CoV-2感染流行情况,家庭成员或密切接触者有疑似或确诊NCP时,需警惕新生儿无症状感染和不典型症状感染可能。对新生儿应采用保护性隔离措施,进行专人专护,避免密切接触。在喂养、清洁口腔、更换尿不湿或其他有身体接触行为时,注意个人防护,加强手卫生,新生儿护理用具用后即进行有效消毒,减少家庭成员间传播。
如何判断孩子的发热是新型冠状病毒所致?
冬春季本就是呼吸道感染高发季节,大部分孩子生病可能还是普通的呼吸道感染或者流行性感冒等常见病及多发病为主。
但是如果有以下情况,需要警惕:
1)发病前两周内有密切接触过SARS-CoV-2的疑似病例或确诊病例;
2)居住地有SARS-CoV-2聚集性发病。
有以上流行病学史,若有发热、咳嗽、腹泻等症状,或无明显呼吸道症状,而表现为乏力、恶心、腹部症状等。建议到就近指定开设发热门诊的医院进行常规血常规以及流感病毒筛查,必要时完善胸片检查,在符合疑似病例标准的基础上,取痰液、咽拭子等标本,检测新型冠状病毒核酸是否为阳性,判断是否为新型冠状病毒所致,听从医生建议,遵医嘱治疗。
新冠肺炎,儿童病例:
上海首例新冠肺炎患儿出院了,治疗过程是怎样的?
全国首例危重型新冠肺炎患儿出院,早期2次咽拭子均为阴性!
新冠病毒感染的婴儿,有哪些特征?这里有10个病例
参考资料:
1、曾凌空, 陶旭炜, 袁文浩, 等。 中国首例新生儿新型冠状病毒肺炎 [J] . 中华儿科杂志,2020,58( 00 ): E009-E009. DOI: 10.3760/cma.j.issn.0578-1310.2020.0009
2、湖北省疾控中心健康教育所:新型冠状病毒感染的肺炎流行期间新生儿、儿童防控相关问题解答
四川省医药保化品质量管理协会党支部开
为庆祝中国共产党成立104周年,持..四川省医药保化品质量管理协会党支部召
四川省医药保化品质量管理协会党支..认真落实巡视组反馈意见,进一步规范协
按照四川省市场监督管理局党组巡视..关于相关收费标准的公示
根据四川省医药保化品质量管理协会..关于召开会长办公会的通知
各会长、副会长单位: 根据四川..四川省医药保化品质量管理协会组织召开
2025版《中国药典》将于2025年10月..四川省医药保化品质量管理协会召开第七
四川省医药保化品质量管理协会第七..“两新联万家,党建助振兴”甘孜行活动
为深入贯彻落实省委两新工委、省市..关于收取2025年度会费的通知
各会员单位: 在过去的一年里,..四川省应对新型冠状病毒肺炎疫情应急指
四川省应对新型冠状病毒肺炎疫情应..四川省应对新型冠状病毒肺炎疫情应急指
四川省应对新型冠状病毒肺炎疫情应..